Вимірювання температури тіла у людини – ширший процес, ніж прийнято …
Авокадо потрібно мити дуже ретельно — і ось причина
Незалежно від того, який зараз сезон, є одна суперкорисна річ, …
Атопічна бронхіальна астма — симптоми
Захворювання дихальних шляхів алергічного характеру хронічної форми носить назву атопічна …
Астма і застуда/грип: 3 міфу, в які пора перестати вірити
Про те, як астматики переносять застуду і грип, ходять легенди. …
Аспірин допомагає лікувати рак
Вчені й самі не знають, як це працює, тим не …
Апоптозное тільце при вірусному гепатиті B
Гепатит B — вірусна інфекція, що вражає печінку. Захворювання може …
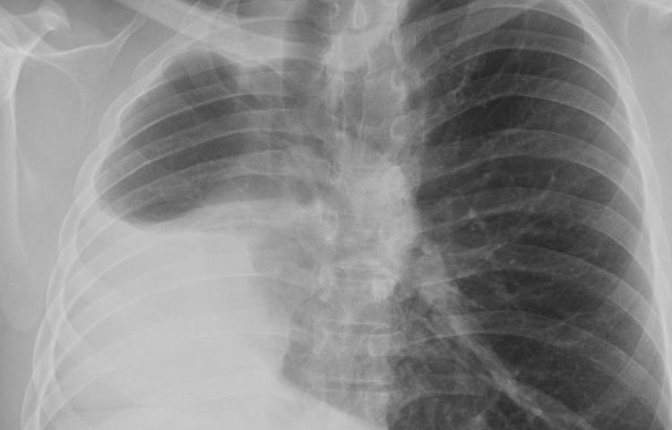
Аплазія легень у дітей та дорослих
Аплазія легень являє собою часткове відсутність даного органу. Аномалія вважається …






