Про те, як астматики переносять застуду і грип, ходять легенди. …
Аспірин допомагає лікувати рак
Вчені й самі не знають, як це працює, тим не …
Апоптозное тільце при вірусному гепатиті B
Гепатит B — вірусна інфекція, що вражає печінку. Захворювання може …
Аплазія легень у дітей та дорослих
Аплазія легень являє собою часткове відсутність даного органу. Аномалія вважається …
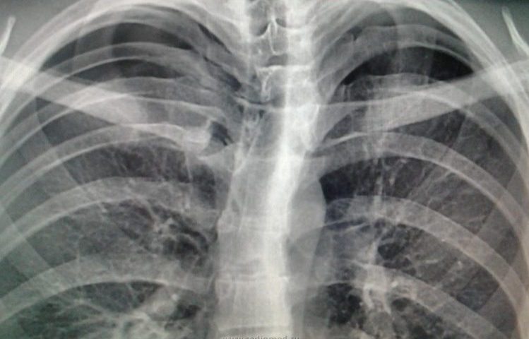
Апікальний пневмоторакс — що це таке?
Апікальний (розташований у верхній частині) пневмоторакс являє собою порушення руху …
Анізометропія — ступеня хвороби
Анизометропией в медицині називають хвороба зорових органів, яка викликана різницею …
Аномалії розвитку кришталика
Зір — це один з основних аналізаторів навколишнього середовища, на …






